症例|Art Oral Japan|東京都目黒区|自由が丘にある審美歯科に特化した技工所

〒152-0035 東京都目黒区自由が丘1-24-3 玉川ビル303
Tel/Fax.03-6421-2266
ヘッダー画像

Case

症例|Art Oral Japan|東京都目黒区|自由が丘にある審美歯科に特化した技工所

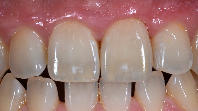
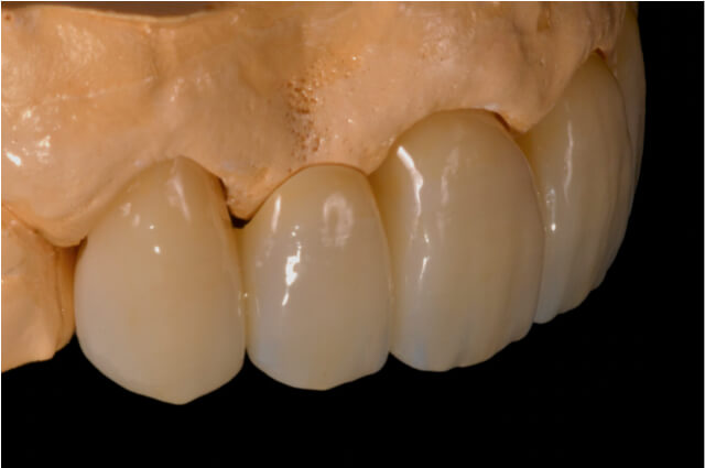
補綴種類:【ジルコニアポーセレン築盛 臼歯】

ジルコニアポーセレン築盛 臼歯02_01
ジルコニアポーセレン築盛 臼歯02_02

補綴種類:【フルジルコニア クラウン、ベニア、ノンプレップベニア、インレー】

フルジルコニア_01
フルジルコニア_02
フルジルコニア_03
フルジルコニア_04
フルジルコニア_05
フルジルコニア_06
フルジルコニア_09
フルジルコニア_08
フルジルコニア_10
フルジルコニア_11
フルジルコニア_12

補綴種類:【フルジルコニアベニア ホワイトシェード 上下顎4〜4】

フルジルコニアベニア_01
フルジルコニアベニア_02
フルジルコニアベニア_03

上顎3〜3番 フルジルコニア クラウンとブリッジ

上顎3〜3番 フルジルコニア クラウンとブリッジ_01
上顎3〜3番 フルジルコニア クラウンとブリッジ_02
上顎3〜3番 フルジルコニア クラウンとブリッジ_03
上顎3〜3番 フルジルコニア クラウンとブリッジ_04
上顎3〜3番 フルジルコニア クラウンとブリッジ_05

IPS e-maxクラウン 小臼歯

IPS e-maxクラウン 小臼歯_01
IPS e-maxクラウン 小臼歯_02

補綴種類:上顎右側1番【ポーセレン築盛】

上顎右側1番_01
上顎右側1番_02
上顎右側1番_03
上顎右側1番_04
上顎右側1番_05
上顎右側1番_06
トップへ戻る